Beyond Fillings

 

Sealants

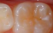
A sealant is a clear or shaded plastic material that is applied to the chewing surfaces (grooves) of the back teeth (premolars and molars), where four out of five cavities in children are found. This sealant acts as a barrier to food, plaque and acid, thus protecting the decay-prone areas of the teeth.



Bondings

more information coming soon...


Pediatric Dentist - Mouth GuardsNight Guards/Mouth Guards

When a child begins to participate in recreational activities and organized sports, injuries can occur. A properly fitted mouth guard, or mouth protector, is an important piece of athletic gear that can help protect your child�s smile, and should be used during any activity that could result in a blow to the face or mouth.

Mouth guards help prevent broken teeth, and injuries to the lips, tongue, face or jaw. A properly fitted mouth guard will stay in place while your child is wearing it, making it easy for them to talk and breathe.

Ask your pediatric dentist about custom and store-bought mouth protectors.

 

Hospital Dentistry

Caring for patients at the Livingston Surgical Center is a very special service we provide at Dentistry for Children of West Essex for both very young patients, as well as those patients with special needs.

Dr. Eytel is on staff at the Livingston Surgical Center and at Barnabas Health Medical Center. He has the capability of performing all pediatric dental procedures at the Livingston Surgical Center while the patient is under a general anesthesia.

Typically, we use the Livingston Surgical Center to treat children between 18 months and five years of age, who require an extensive amount of dentistry due to rampant caries. We also utilize the center to provide necessary treatment for patients with special needs, who are often not at ease in the dental office. All of the procedures, including x-rays, can be performed while the patient is under general anesthesia. There is a physician anesthesiologist constantly monitoring the patient throughout the duration of the procedure. The treatment is completed in a fully equipped operating room; the patient recovers in a fully staffed recovery room and goes home the same day.

 

Bleaching

More information coming soon!

 

Before and After Photos

More information coming soon!

 

Helpful Links

http://www.mychildrensteeth.org/


Home   |   Meet the Doctors   |   Office Information   |   The First Visit   |   Patient Information   |   Orthodontic Information   |   Beyond Fillings   |   Photo Gallery

 Pediatric Dentists, West Orange, NJ 07052 - Dr. Richard Eytel and and Associates - Dentistry for Children of West Essex.  Serving patients in the surrounding cities
and areas of West Orange, Livingston, Verona, Essex Fells, Cedar Grove, South Orange / Maplewood, Montclair, Caldwell, Bloomfield, Roseland, Millburn / East Hanover, New Jersey.

Copyright � 2011 Richard W

Copyright © 2011 Richard W. Eytel, D.M.D. and Associates.   All Rights Reserved.
Click here to read our DisclaimerClick here to read our Privacy Policies and Procedures.